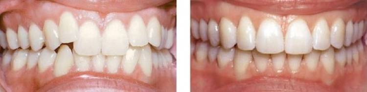
金属牙齿矫正是目前最广泛使用的矫正技术,是由不锈钢或镍钛金属合成,用一种专用黏结剂来固定在牙齿表面,其原理就是通过外力牵引(矫治器)移动牙齿的位置,并通过长时间的外力作用(固定器)将移动到位的牙齿固定在新位置的过程。
1.牙齿的常规处理及消毒。
2.通过矫正器(牙套)进行修复。
3.牙列最后的精细调整。


1、技术成熟,应用广泛;
2、价格经济便宜;
3、矫正速度较快;
4、不染色;
5. 矫正器强度够,不易损坏。
1、不够美观。
2、普通托槽要通过细钢丝结扎固定弓丝,比较刮嘴。
3、口腔护理较麻烦。
4、可能会干扰发音讲话。
5、可能造成牙周组织损坏。
6、牙根吸收,进而造成牙齿松动或脱落
1、清洁口腔。
1、 为了矫正牙齿的效果,建议不吃骨类、硬壳食物。
2、 正畸治疗期间,除了遵守医生的指示外,还要小心护理牙齿上的矫正器。
3、 少吃零食,要减少吃零食和糖果的数量,尤其是口香糖。
4、 定期检查、更换钢丝、戴橡皮圈等,否则,矫正的过程延长,同时也不能达到理想的矫正效果。
5、 不吃过粘食物:啃或磕的东西不能吃,不能吃过粘的食物。
6、 一定要保持口腔清洁:使用正畸专用牙刷,动作要轻柔、要慢,每次3~5分钟。
7、 餐后刷牙或漱口 。