热门项目:眼部综合|微创吸脂|冰点无痛脱毛|辉煌360祛斑|无痕修疤术|田氏微雕术|月亮女神定制丰胸|董“洁”清奥法|专利美鼻
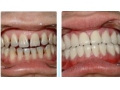
经典案例对比
经典案例对比
经典案例对比
经典案例对比
经典案例对比
经典案例对比
经典案例对比
请输入您的手机号码,专家会在3分钟内给您回电,接听免费。
※ 请输入手机号码:

更多>>种植牙

宜昌种植牙多少钱一颗宜昌种植牙多少钱一颗种植牙多少钱一颗 ?现在的人们在意自己的牙齿,哪怕再自信的人,要是一排门牙掉了恐怕...[详细]

更多>>烤瓷牙

钛合金烤瓷牙怎么样钛合金烤瓷牙怎么样钛合金烤瓷牙怎么样 ? 现在人们对牙齿的关注度很高,牙齿已经不仅仅是它传统的功能性...[详细]

更多>>美容冠

宜昌做美容冠要多少钱宜昌做美容冠要多少钱做美容冠要多少钱 ?美容冠是烤瓷牙技术的一种,但是有区别于传统的烤瓷牙技术。美容冠...[详细]

更多>>牙齿矫正

宜昌牙齿矫正多少钱宜昌牙齿矫正多少钱牙齿矫正多少钱?牙齿不好看总是会影响我们的美观,还会带来别人的嘲笑。所以很多朋...[详细]

更多>>补牙

门牙缺失的补救方法门牙缺失的补救方法补牙的方法在生活中还是比较常见的。补牙可以帮助恢复牙齿的嚼劲功能,让人们在饮食...[详细]

推荐专题 更多>>