結構式隆鼻
鼻整形手術就像整修一座建築物 既要美觀,更要堅固
修建房屋前必須先打好地基,要是地基不穩,再好的外觀也沒用。鼻整形手術也是一樣的道理, 先要考量功能結構再到外觀。因為每個人鼻部結構與鼻軟骨軟硬度各異,因此,傳統的植入物隆鼻是不夠的。
結構式隆鼻強調鼻外觀與功能同時改善,考量每個人先天基礎後天條件狀況,以空間結構平衡原理,打造出一個穩固和諧的鼻子型態,並符合自身臉型的自然美鼻。對於歪鼻、朝天鼻、駝峰鼻、鷹勾鼻、馬鞍鼻、鼻頭鼻翼肥大、鼻樑塌陷,都可以利用此術式得到改善。
傳統人工矽膠鼻骨最常出現的併發症,就是組織排斥、位移、感染、以及鼻尖部位皮膚變薄變白甚至矽膠從皮膚脫出。東方人的鼻子大多較短且扁塌,隆鼻後鼻尖與鼻樑都被加高了,鼻部皮膚的張力因此增加,所以鼻尖部位的人工矽膠鼻骨會承受很大壓力。在長期承受皮膚壓力擠壓下,會壓迫鼻尖皮膚,這也就是為什麼有些病患在接受人工矽膠鼻骨隆鼻幾年後,會產生鼻尖皮膚變薄變白,甚至矽膠從皮膚表面破出的原因。為了改善此一缺點,現代鼻整形方式是在鼻尖處改為置放自體軟骨。自體軟骨是自己的組織,不會有因承受皮膚壓力而破出的問題。這種手術方式結合了人工鼻樑植入物與自體軟骨當材料,因此稱為"結構式隆鼻"。

*術前術後照片僅供參考,實際效果因個案而異。
隆鼻手術推薦特點
- 手術切口與路徑:根據個人鼻型條件不同,可能從鼻內或鼻外切口進入。
- 手術時間:約需3-4小時。
- 麻醉方式:局部麻醉或舒眠麻醉。
- 不需住院。
- 術後照顧:鼻樑黏貼鼻外固定板7天,定時服藥與傷口換藥即可。
| |
結構式隆鼻術 |
傳統隆鼻術 |
全自體肋軟骨隆鼻術 |
| 使用材質 |
自體/異體/人工合成材料+耳軟骨 |
矽膠L型 |
全自體肋軟骨 |
| 麻醉方式 |
局部/全身麻醉 |
局部/全身麻醉 |
全身麻醉 |
| 手術時間 |
3~4小時 |
1小時 |
4小時以上 |
| 手術方式 |
外開式 |
內開式 |
外開式 |
| 手術切口 |
鼻中柱 |
單側鼻腔內切口 |
鼻中柱及右前胸切口 |
| 恢復期 |
1-2週 |
1-2週 |
1-2週 |
| 併發症 |
極少 |
穿出率30% |
彎曲率2-10% |
| 感染率 |
低 |
中 |
最低 |
| 排斥機率 |
低 |
低 |
x |
| 軟骨吸收 |
輕微 |
x |
輕微 |
| 手術內容 |
*使用人工鼻模撐起山根及鼻樑部位
*使用鼻中膈軟骨或人工骨撐起鼻頭
*使用耳軟骨做精細鼻部雕刻
|
*使用L型矽膠撐起鼻樑及鼻頭,無法做鼻部系至雕刻。 |
*使用肋軟骨墊鼻樑、撐起鼻頭,可做精緻鼻部雕刻。 |
隆鼻手術流程
- 術前與醫師充分溝通鼻型
- 拍術前照記錄
- 臉部卸洗:確保臉部無彩妝殘留,並將頭髮包起以便手術進行
- 手術採『舒眠麻醉』,術前醫師會於鼻子畫上記號,確定手術進行的位置
- 施打局部麻醉(耳朵及鼻部)
- 先取耳軟骨,而後進行縫合。傷口位於耳後,大小約2公分
- 進行鼻子結構雕塑,採『外開式』切口,傷口位於鼻中柱
- 於鼻內置入止血棉,待麻醉退了之後,手術圓滿成功。
隆鼻術後處理
- 鼻外切口手術需6-7天拆線。
- 鼻內切口無需拆線
- 術後大約4週看出明顯效果,3-6個月效果最自然。
- 術後3個月內不可受外力作用,2週內避免戴眼鏡。
- 避免陽光直射,因為容易產生曬斑(色素沉積)。
- 術後1週、2週、4週、、2個月、3個月、6個月,一年共做7次鼻部回診檢查。
隆鼻術後恢復情形

結構式隆鼻案例分享

*術前術後照片僅供參考,實際效果因個案而異。

*術前術後照片僅供參考,實際效果因個案而異。

*術前術後照片僅供參考,實際效果因個案而異。

*術前術後照片僅供參考,實際效果因個案而異。

*術前術後照片僅供參考,實際效果因個案而異。
*術前術後照片僅供參考,實際效果因個案而異。
*術前術後照片僅供參考,實際效果因個案而異。
*術前術後照片僅供參考,實際效果因個案而異。
*術前術後照片僅供參考,實際效果因個案而異。

*術前術後照片僅供參考,實際效果因個案而異。

*術前術後照片僅供參考,實際效果因個案而異。
*術前術後照片僅供參考,實際效果因個案而異。

*術前術後照片僅供參考,實際效果因個案而異。

*術前術後照片僅供參考,實際效果因個案而異。
*術前術後照片僅供參考,實際效果因個案而異。
*術前術後照片僅供參考,實際效果因個案而異。
專精結構式隆鼻手術13年
慕顏診所韋志曄院長在鼻整形手術領域投入多年心力,並經常參加國內外研討會,吸收最新的鼻部整形知識,並發表多篇鼻整形教育演講,對“結構式隆鼻”鑽研透徹並熟練掌握,更找出適合亞洲人臉型的自然鼻形,成為臺灣鼻整形術領域的佼佼者。

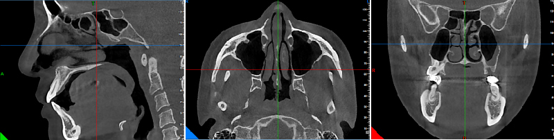
精準3D電腦斷層影像輔助系統
施行鼻整形手術前,由醫師評估如需進行3D電腦斷層掃描完整分析鼻部結構,將可能的病灶以及建議改善的空間。
術前全面性的評估與深度溝通細節,是韋志曄醫師一貫的要求。
韋志曄 韋志曄 韋志曄 韋志曄