整形案例
-
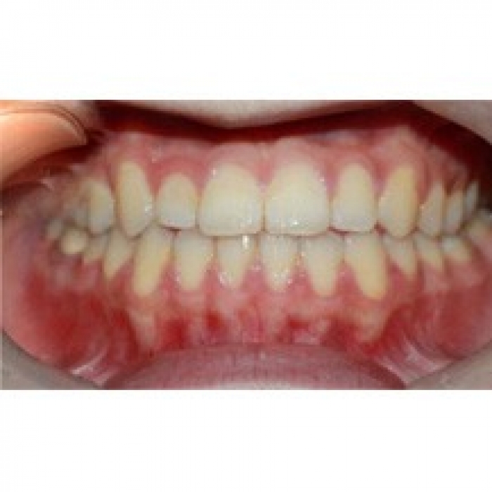
瑾帆医院口腔牙齿美白案例—桂林周瑾帆口腔诊所整形案例
该男子常年吸烟,所以存在烟渍牙、黄牙的情况。牙齿黄黄的而且牙缝也大,影响形象
2021-09-24 18:06
111人浏览
0人评论
-
无锡维乐口腔全口缺失种植牙案例效果对比!—无锡维乐口腔门诊部整形案例
当迈入垂暮之年的时候,大部分老人的牙齿都会开始慢慢的一颗一颗的脱落,直到全部
2020-11-24 17:32
288人浏览
0人评论
-
郑州固乐口腔医院全口种植牙案例!—郑州固乐口腔医院整形案例
早前人们的口腔健康并没有那么在意,对于口腔的护理还没有很强的意识。
导
2020-11-20 16:55
120人浏览
0人评论
-
咸阳海涛口腔医院种植牙案例分享—咸阳海涛口腔医院整形案例
之前去咸阳海涛口腔医院洗牙的时候,洗牙的医生给我说我后面的牙齿坏了,可能需要
2020-11-19 14:41
167人浏览
0人评论
-
武汉德韩口腔医院全口种植牙案例真人对比!—武汉德韩口腔医院整形案例
案例中的王老先生今年已经七十六岁了,但是因为满口缺牙经常上火,两年前做了活动
2020-11-17 16:57
199人浏览
0人评论
-
福州维乐口腔医院全口种植牙真人修复案例对比!—福州维乐口腔医院整形案例
牙齿缺失的理想修复方式就是种植牙,不同数量的牙齿缺失修复的方式不同你知道吗?
2020-11-16 16:44
337人浏览
0人评论
-
深圳华吉登特口腔地包天正畸真人实例成效对比展示!—深圳华吉登特口腔医院整形案例
牙齿矫正不仅仅是针对牙列不整齐的问题,它的主要目的是矫正各种错合畸形问题。
2020-11-13 17:37
127人浏览
0人评论
-
成都茁悦口腔牙齿矫正的案例分享—成都茁悦口腔医院整形案例
今天我们来看几组成都茁悦口腔牙齿矫正的案例:
在成都比较好的正畸医生排
2020-11-12 16:38
84人浏览
0人评论
热门整形案例
-
181人浏览
5条评论
-
474人浏览
3条评论